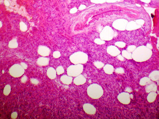
41 years, male patient C/O enlarged pre-auricular swelling. O/E generalized lymphadenopathy.
Biopsy from parotid gland; shows diffuse pleomorphic infiltration by small and large lymphocytes, plasma cells , many eosinophils on a background exhibiting prominent capillary patten and scattered mitotic figuers.
I'm thinking about angioimmunoplastic lymphoproliferative disease Vs peripheral T cell lymphoma. I asked for lymph node biopsy, but not yet available. what is your suggestions?






May you perform CD3, CD10, CXCL13 and EBV staining. I have suggestion of angioimmunoplastic T-cell Lymphoma.
ReplyDeleteAngioimmunoblastic proliferative disease is a good possibility but we have to do LCA, CD3,CD20
ReplyDeleteand Cytokeratin.
Maha Akl
Thank you all for your valuable comments. I already asked the surgeon to take a biopsy from other lymph node group. Immunophenotyping will follow. I will submit the results (in shaa Allah) when they become ready.
ReplyDeleteHi tarek, please i want to know your final diagnosis of this case after immunophenotyping
ReplyDeletethanks Tarek
Zeinab Omran
2010 air jordan releases jordan 9 air jordan retro 9 jordan flight 9 jordan 7 jordan retro 7 air jordan 7 colorways jordan 3 air jordan 3 air jordans retro 3 jordan 2 jordan retro 2 jordan v2 grown jordan 4 jordan 4 retro air jordan 4 for sale jordan 5 air jordan 5 fire red air jordan 5 black jordan 6 jordans 6 jordan 6 rings black jordan 1 jordan retro 1 air jordan xx1 jordan true flight jordan flights cheap jordans flights shoes jordan 8 air jordan 8 jordan 8 retro jordans 2015 retro jordan releases in 2015
ReplyDelete