14 years old lady, representing with cystic lateral neck swelling, clinically diagnosed as cystic hygroma. Grossly, ovoid cystic mass measuring 4x2.5 cm, containing thick greenish fluid with smooth outer and inner surfaces and 0.1 -0.2 cm wall thickness.
Wednesday, November 10, 2010
Thursday, October 28, 2010
Mass during abdominal exploration
56 years old female, represented with intestinal obstruction, she had a previous history of 5 CS and old uterine fibroid. The surgeon found large mass arising from the pelvis infiltrating the intestinal wall. Pelvic organs could not be identified. The OBgyn-Surg. team just made debulking of the mass and release the obstruction. Grossly; many variable sized irregular grayish friable tissue pieces were received. Microscopically; malignant growth formed of spindle cells and rhabdoid cells with high mitotic index and extensive necrosis. I suggested pleomorphic rhabdomyosarcoma (DD: MFH; Pleomorphic liposarcoma). What are ur suggestion and markers recommended?.
Wednesday, October 27, 2010
Cystic malignant breast mass
Female patient 36 yo, have a lt. breast mass. U/S revealed large cystic mass. Gross examination showed an ovoid mass 6x5 cm with well defined nodular outer surface. CS showed a large cavity filled with brownish gelatinous material. Microscopically; invasive duct carcinoma with mixed comedo and medullary features as well as DCIS. The center is a degenerated part of tumor.
Tuesday, October 26, 2010
Large Breast Mass
46 years old female patient, had Rt. breast mass since (long time); FNAC shows hyperplastic ductal cells and fragments of spindle cell stromal tissue (suggestive of phylloides tumor or giant fibroadenoma).
Frozen section confirmed the diagnosis of phylloides tumour. Paraffin sections show it is of the benign type.
Frozen section confirmed the diagnosis of phylloides tumour. Paraffin sections show it is of the benign type.
Tuesday, October 12, 2010
Two interesting appendicectomies!
Monday, September 6, 2010
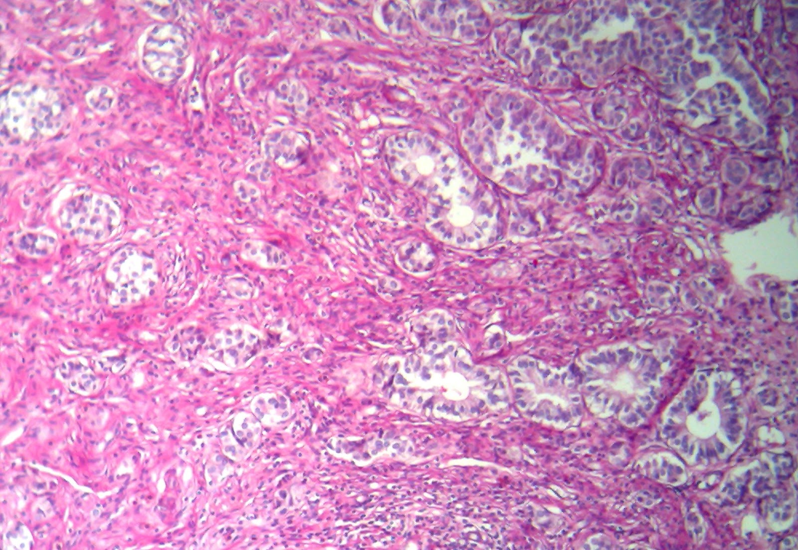
Retroareolar breast lump
30 years old female -virgin-lady presented with left retroareolar breast mass; FNAC shows hypercellular smears mostly with oval nuclei and indistinct cytoplasm(?) +sheets of atypical ductal cells.
Frozen section was done, showing a nodule exhibiting focal tubular pattern and central infarct.
Frozen section was done, showing a nodule exhibiting focal tubular pattern and central infarct.
Wednesday, June 2, 2010
Thigh Swelling
Male patient , 35 years old. O/E Rt. thigh mass. Intra-operative imprint cytological examination is suggestive of liposarcoma. Excision for histopathological examination. (lipoblasts, myxoid stroma, thin anastomosing capillaries).
Thursday, May 27, 2010
Scalp swelling
Scalp swelling in female patient 35 years old. Well defined, with cystic and solid parts.Microscopically; squamous epithelium, with abrupt keratinization, focal peripheral palisading, keratin pearls, focal nuclear anaplasia.
Subscribe to:
Comments (Atom)






















































