Female patient, 66 years old, with large left nasal mass infiltrating the ethmoid and sphenoid bones and the nasopharynx. Small incisional biopsy was taken under local anaesthesia and one day later, a soft to firm grayish glistening polyp was expelled spontaneously from the nose and sent to the histopathology laboratory.
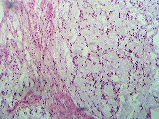
Sections show small round and stellate shaped cells with few scattered mitotic figuers, patchy hypo and hypercellularity as well as vacuolated  and granular cytopasm.The stroma shows prominent vascular pattern, patchy myxoid changes, fibrosis, oedema and hemorrhage. For differential diagnosis.
Nasopharyngeal Angiofibroma: Strictly in MALES.
Embryonal rhabdomyosarcoma: NOT THE AGE
Meningio / glial neoplasm ??
Vascula neoplasm??
Others??
Tumor markers are requested.
UPDATE: The patient was referred to another hospital, where tissue markers were done and the final diagnosis was : Olfactory Neuroblastoma !












 
